Alternative to tooth extraction
Sometimes a nerve in a tooth becomes damaged by trauma or tooth decay. Root Canal Treatment or Endodontic therapy or root canal therapy is a sequence of treatment that offers an alternative to tooth extraction.
In this procedure the nerve or dental pulp of the tooth is removed. This is done over several appointments and a temporary filling is used between these appointments to protect the tooth.
Contact Now 
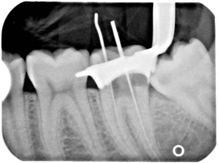
                    Xray of a Root Canal Operation — Image from Wikipedia
 
                    Root canal procedure — Image from Wikipedia
Root Canal Procedure
Unhealthy or injured tooth, subsequent creation of an access cavity with a dental handpiece, cleaning & shaping the root canals with an endodontic file, and restoration with gutta-percha filling and a crown.
